最热新闻
查看手机网站
死生瞬间——经历“突发心肌梗死”
中国早报北京讯(记者 常魁星)引言:一些远离家人在外工作的人,有的在偏远地区、山区,交通不便,医疗条件不好,猝死事件时有耳闻。在猝死人中,大部分是突发心肌梗死。心肌梗死仅次于癌症,是人类第二大杀手。突发心肌梗死的人很多是因没意识到是心脏疾病,抢救不及时而失去了生命。笔者以突发心肌梗死的经历,介绍了一些心肌梗死的病症知识,温馨提示每天忙碌的人们,珍惜生命,健康生活。当出现心电图心肌缺血、胸闷、气短症状时,首先想到心脏问题,进行冠状动脉造影检查,及时治疗,避免突发心肌梗死危及生命。血压高、血脂高、血糖高的人,在控制饮食和加强运动后没有降低的情况下,要服药治疗,预防心脏病的发生。
死生瞬间——经历“突发心肌梗死”
常魁星
前几日,去医院看望了一位同事,他躺在病床上不动,召唤他,他微微睁睁眼,没有意识,鼻饲管输着流食。作为朋友为之心酸。他才50岁,因脑梗出血倒在了岗位上,经抢救保住了性命,但没了意识。心酸之余,想起了自己突发心肌梗死的经历。
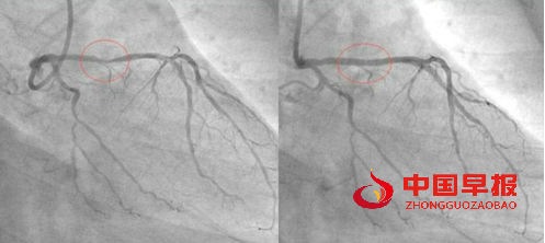
10月6日凌晨1:00多,我感觉左胸有一点疼痛,迅速扩展为大面积剧烈疼痛,呼吸困难,服救心丸、硝酸甘油,不起作用。家人打了999急救电话,15分钟后急救车赶到,医生给我做了心电图,告知家人为大面积心肌梗死,心脏随时停跳,病危程度为“极高危”。医生给我用氧气袋输氧、输液后,要送往北京心血管中心安贞医院,至少40分车程。我感觉疼痛剧烈,提出就近医院救治。急救车风驰电掣奔向了潞河医院。10几分钟的车程,我痛苦的感觉很漫长。进入医院急救室,急救医生输氧、输液,给我吃药片,不让喝水,要咬碎用唾液吃下。我因呼吸急促,口干舌燥,艰难的吞服药片。疼痛依然剧烈,如同千刀绞心。医生决定去手术室。恰逢导管室主任在岗,迅速手术。我脑海里出现了白色的天空,分布着大小不一的黑色斑点,紧接着天突然一片漆黑了。大脑缺血,心脏停跳了。医生切开我右手腕动脉,插入导管,直通心脏,抽吸血栓,电击,一系列抢救后,我心跳复苏。我脑海里出现了美丽晚霞景色,晚霞上有大小不同的圆黑点,就像太阳黑斑,我心想这美丽的景色在哪里,左右回头看是啥地方,意识恢复了,我看到医生在我的右手动脉插入导丝。扩张气囊,放入直径3毫米、长23毫米和直径3.5毫米、长23毫米不锈钢支架各一个,2个支架连接在一起支起心脏左前降支血管,生命得以延续。到CCU病房,我看了一下表,3:30。医生说,冠心病中死亡率最高的是急性心肌梗死,在急性心肌梗死中左前降支梗死死亡率最高,被称为“寡妇制造者”和“鳏夫制造者”,存活率只有25%,大部分患者因为没及时到医院救治而死亡。著名人物马季、侯耀文、古月、高秀梅、王平、红线女、袁世海、罗阳都是突发急性心肌梗死救治不及时而失去了生命。

我在CCU病房住院一周,不得下床,24小时血压、心跳监护、吸氧、输液、吃药。起初,见到的病人都是60、70岁的老头、老太太。后来,来的病人也有20、30岁的小伙子,40、50岁的中年人。一周后,我上午出院,走下楼,上车,走回家。下午,咳血,躺下喘不出气来。到医院急诊,诊断为肺积水、心力衰竭,我又被急救车推回了CCU病房,输液、吸氧、服药治疗,一周后出院。住院期间,每天都有同病房患者逝去,有的是夜里发病,没意识到是心脏病,忍耐到天亮,才到医院,失去了最佳抢救时间而失去了生命;也有的是做了支架后,在病床上蹲起方便,造成心脏破裂而亡。我经历了死与生的转换,对人生和事物有了彻悟,生死瞬间,看淡人间一切,舍得放下,淡泊名利,珍惜生命,热爱生活,快乐每一天。
在治疗期间,我阅读了有关冠心病的书籍,现将一些知识流于笔端,让出门在外工作或没有体察到有心脏病的人了解,以挽救更多的生命。心肌梗死在发病的8周内称为急性心肌梗死。此时,由于心肌受到严重损伤,心肌的电活动和机械活动均处于不稳定状态,所以病情容易发生突变,甚至猝死。在所有急性心肌梗死的患者中,约1/2~2/3死于住院前。
心肌梗死相关知识:冠心病有心绞痛、心肌梗死之分。如果感到胸闷、左胸疼、后背疼、喘气吃力,心电图显示心脏缺血,就是冠心病的心绞痛,要做一个“冠状动脉造影”检查,若血管狭窄达到75%,会作支架,血管通畅了,心脏功能会好起来,避免突发心肌梗死带来生命危险。如果是突然左胸一点疼痛,迅速扩展到整个左胸疼痛,出汗,呼吸困难,服救心丸、硝酸甘油不管用,就是心肌梗死了。服救心丸、硝酸甘油不起作用是心绞痛和心肌梗死的重要病症区别。此时,病人不要活动,立即打急救电话。心肌梗死是临床上的急重症,“时间就是心肌、时间就是生命”。
如果在急救车到来前,病人心脏停止了跳动,身边的人不要旁观,要立即对其进行心脏复苏,人心脏停跳缺氧4—6分钟就会引起死亡。必须争分夺秒地进行有效呼吸,以挽救其生命。在场的人,千万不可袖手旁观,静等医生的到来,应立即对病人进行口对口人工呼吸和体外心脏按压复苏。捏住被救者的鼻翼,掰开病人嘴巴,嘴对嘴,连续吹气两次;立即进行体外心脏按压30次,按压频率每分钟80到100次;每作30次心脏按压后,就连续吹气两次,反复交替进行。每隔5分钟检查一次心肺复苏效果,每次检查时心肺复苏术不得中断5秒以上。人工呼吸和心脏复苏一直要做到急救车医生赶来。

冠状动脉造影是诊断冠状动脉粥样硬化性心脏病(冠心病)的一种常用而且有效的方法,被称为诊断冠心病的“金标准”。心电图显示缺血,有心闷、气短、胸痛等心肌梗死先兆时,要做个冠状动脉造影检查,以便及时发现及时治疗,避免心肌梗死发生。

冠状动脉造影检查需要住院一天,桡动脉穿刺径路在拔除鞘管后对穿刺点局部压迫4-6小时后可以拆除加压绷带。股动脉入路进行冠状动脉造影后,18-24小时后可以拆除绷带开始轻度活动。如果使用封堵器,患者可以在平卧制动后6小时开始床上活动。
心肌梗死症状:心肌梗死是指急性、持续性缺血、缺氧(冠状动脉功能不全)所引起的心肌坏死。发病时有剧烈而持久的性质类似心绞痛的左前胸痛、心闷、气喘、脉搏微弱、血压降低等症状,服救心丸、硝酸甘油无效。病人常烦躁不安、大汗淋漓、恐惧,有濒死之感。少数患者无疼痛,一开始就表现为休克或急性心衰。部分患者疼痛位于上腹部,易被误诊。
冠状动脉闭塞20~30分钟后,受其供血心肌即因严重缺血而发生坏死。坏死组织约1~2周后开始吸收,并逐渐纤维化,6~8周形成瘢痕而愈合。心肌收缩力减弱、顺应性减低、心肌收缩不协调、左心室舒张末期压力增高、心排血量下降、血压下降、心律增快或心律失常,心脏扩大,可导致心力衰竭及心源性休克。
心肌梗死的原因,多数是冠状动脉粥样硬化斑块或在此基础上血栓形成,造成血管管腔堵塞所致。90%的心肌梗死患者有吸烟、喝酒、高血压、高胆固醇血症、血脂高、糖尿病等因素。超过45岁的男性以及更年期之后的女性出现心肌梗死的风险会增加。存在早期冠心病家族史,父亲或者兄弟在55岁之前以及母亲或姐妹在65岁之前被诊断出冠心病,其心肌梗死的风险也会增加。

应急措施:如果出现心肌梗死的先兆症状,千万不要惊慌,首先病人应立刻卧床,保持安静,避免精神过度紧张,舌下含服硝酸甘油,或立即请医生上门,就地诊治。同时做好送往医院的准备。交通工具必须平稳舒适。病人应避免走动,情况相对稳定时以担架运送。运送途中可持续或间断使用硝酸甘油等扩冠药。症状严重心电图变化时按心肌梗死处理。梗死先兆得到及时处理的病人,有的可免于急性心肌梗死,有的即使发生心肌梗死,梗死范围也较小,症状较轻,并发症少,易于康复,存活率明显提高。
心梗治疗方法一:心梗患者要静脉溶栓。静脉溶栓是早期心肌梗塞治疗的最有效的方法之一,能及时挽救缺血和频死的心肌,缩小心梗范围,改善心脏功能及降低死亡率。
心梗治疗方法二:急诊冠脉介入。最佳抢救时间为发病1-2小时;对于在发病6小时以内到有介入治疗条件的医院就诊的患者,应积极主张行急诊介入支架手术。
心梗治疗方法三:药物治疗。对于病情稳定住的心肌梗死患者,采用药物治疗。常用的药物有美托洛尔、冠脉通络软胶囊、脉康合剂、阿司匹林等,具体用哪种药应该根据医生的指点。
心肌梗死急性期会发生:心肌梗死会并发急性左心衰竭,可在起病最初数日内发生或在疼痛、休克好转阶段出现。病人出现呼吸困难、咳嗽、紫绀、烦躁等,严重者可发生肺水肿或进而发生右心衰竭的表现,出现颈静脉怒张、肝肿痛和水肿等。右心室心肌梗死者,一开始即可出现右心衰竭的表现。
在心肌梗死后1~2周内,常发生心脏破裂,约占致死病例3%~13%。原因是梗死灶失去弹性,心肌坏死、中性粒细胞和单核细胞释放水解酶所致的酶性溶解作用,导致心壁破裂,心室内血液进人心包,造成心包填塞而引起急死。

在梗死早期或梗死灶已纤维化的愈合期会发生室壁瘤,由梗死心肌或瘢痕组织在心室内压力作用下,局限性的向外膨隆而形成室壁瘤。室壁瘤可继发附壁血栓、心律不齐及心功能不全。
心肌梗死患者注意事项:心肌梗死后,两三个月乃至半年左右,进入复原期,增加心肌侧支循环,尽量恢复心脏功能,预防心肌梗死再次发生。
1、忌烟酒及刺激性食物。避免食用过多的动物脂肪及含胆固醇较高的动物内脏。控制食盐摄入,咸菜、豆酱、香肠,腌肉等最好不吃或少吃。
2、绝对不搬抬过重的物品。搬抬重物时必然要弯腰屏气,其生理效应与用力屏气大致类似,是老年冠心病人诱发心肌梗死的常见原因。
3、要放松精神,愉快生活,保持心境平和,对任何事物要能泰然处之;适度锻炼,但应避免竞争激烈的比赛,即使比赛也应以锻炼身体增加乐趣为目的,不以输赢论高低。
4、不要在饱餐或饥饿的情况下洗澡,水温最好与体温相当,水温太高可使皮肤血管明显扩张,大量血液流向体表,可造成心脑缺血。要注意气候变化,在严寒或强冷空气的影响下,冠状动脉可发生痉挛并继发血栓而引起急性心肌梗塞。低温、大风、阴雨是急性心肌梗塞的诱因之一。
5、做好日常保护措施非常重要,要有心肌梗死症状识别知识并给予及时处理。再有心绞痛时,要及时去医院诊治,以防止再次心肌梗死。
心肌梗死是由于动脉粥样硬化造成的。动脉粥样硬化进程缓慢、发展隐匿,可以长期无任何症状,所以在早期通常不会引起人们的注意。但随着疾病的不断发展,血管壁上沉积着的“小斑块”逐渐增多、增大、堵塞血管,使血流变慢,严重时使血流被中断。这种情况如果发生在心脏,就会引起冠心病;发生在脑,就会出现脑卒中;发生在肾脏,就会引起肾动脉硬化,肾功能衰竭;如果堵塞眼底血管,将导致视力下降、失明;若发生在下肢,则会出现肢体坏死、溃烂等。
引起动脉硬化的病因中最重要的是高血压、高脂血症、抽烟、喝酒。肥胖、糖尿病、运动不足、紧张状态、熬夜、A型性格、高龄、家族病史、脾气暴躁等都会引起动脉硬化和诱发心肌梗死。
(1)高血压。高压血流长期冲击动脉壁引起动脉内膜机械性损伤,造成血脂易在动脉壁沉积,形成脂肪斑块并造成动脉硬化狭窄。血压不控制,心肌梗死发生率提高2~3倍,脑卒中则约4倍。A型性格的人即使没要紧的事,吃饭和走路都很快;进取心强,做事效率高,力图用最短的时间做最多的事;对人对己非常苛刻,常常不能容忍别人的缺点和毛病;看不惯慢条斯理、不紧不慢的人;心急如焚、缺乏耐心。很多成功人士都是这种性格。“急躁的性格、争强好胜的心态的确容易引起高血压。”当处于情绪变化的应激状态下,就会感到有压力,此时体内大部分血管处于“紧绷”的状态,天长日久也容易引起高血压。
(2)高脂血症。血中脂肪量过高较易沉积在血管内壁形成斑块,造成动脉硬化狭窄。血脂高在控制油腻饮食和增加运动不能降低时,要服药降脂治疗。
(3)糖尿病。糖尿病人的脂肪代谢会出现问题,血液中运送脂肪的蛋白质(称做脂蛋白)会产生变性,在运送过程中脂肪容易沉积在血管内壁形成脂肪斑块。
(4)抽烟。香烟中的尼古丁、一氧化碳等会损伤动脉内壁,受伤的动脉内壁会卡住胆固醇,引起血小板堆积形成脂肪斑块。同时,抽烟也会引起冠状动脉收缩痉挛,减少血流量。
(5)缺少运动。运动可以增加高密度脂蛋白,减少低密度脂蛋白,帮忙身体把多余胆固醇从胆道与肠道排出体外,避免过剩胆固醇沉积在血管内壁。运动还可以促进血液循环,增加血管弹性,降低血压,消耗过剩热量,使身体脂肪比重减少,肌肉比重增加,而减轻体重。因此缺乏运动的人很容易得动脉粥状硬化。
(6)肥胖。肥胖或体重过重的人,心脏负荷加重,血脂不正常的机率也较高,因而增加动脉粥状硬化风险。肥胖易促发高血压、糖尿病、高脂血症。
(7)压力过大。人会因为压力而增加肾上腺素的分泌,于是引起血压升高、心跳加快,伤害动脉血管内壁。
(8)胆固醇高。大量摄入油腻性食物和富含胆固醇的食物,是动脉硬化发生的主要原因。胆固醇在体内是细胞膜、脑及神经组织的重要成分,与荷尔蒙、维生素D的形成有关,具有特别的生理功能,不可缺少。但如果摄取过量,血清中胆固醇的含量就会超出正常范围,久而久之,就会诱发动脉硬化,危害健康。血液中胆固醇含量过多,是发生冠状动脉硬化及心脏血管病的重要危险因素之一。
(9)油脂饮食多。日常饮食中,一般都含有一定量的油脂,如果平时喜欢吃肥腻食物而又不注意其他矿物质的摄取,就会使过多油脂沉积于血管壁上,诱发动脉硬化和其他心脏血管病变。
(10)家族史。是基因上的因素,使某些人早期就发生动脉硬化疾病,有的是严重高胆固醇血症,迭积在血液中,进而促发动脉硬化发生;有的是早发性高血压,或是容易发生血栓等。
A型性格人如果感到疲劳,千万不要硬撑,应注意充分休息,改变生活方式,可以进行放松训练,有3个方法:1.全身放松端坐,有意识地放慢呼吸频率;2.暂时抛开繁重的工作,给自己一点时间想象大自然的美景;3.参加体育运动,年轻人可选择慢跑和游泳,老人可以选择钓鱼和下棋,都能平复情绪,磨炼人的心性。
通血管的古方
打通血管绝密配方,给亲爱的人试试
一位居住在伦敦的人的亲身经历,他去巴基斯坦开会的时候,突然胸口剧痛,后来被医院验出来,他的三条心血管已经被严重堵塞,需要做搭桥手术。手术的时间是一个月以后,在这个期间,他去看一位回教国家古法治疗师。

这位Hakim让他自己在家中做一个食疗,他吃了一个月。一个月后他去同一家医院做检查,发现三条血管干干净净,原来堵塞的地方已经全通了。
他是一位虔诚的回教徒,为了让更多的人受益,他把自己的经验放在网上分享,他的前后两张血管照片也放了在网上,在他的冠状动脉造影照片中,服用食疗之前与之后的分别连普通人也看得出来。

所需原料:1 杯柠檬汁 、1 杯姜汁、1 杯大蒜汁、1 杯苹果醋。

1.蒜头去皮,姜去皮切小片,放入榨汁机榨汁,或者放入搅拌器打成浆,用网布隔渣,绞出汁。

2.将蒜头、姜汁放入瓦煲,加入柠檬汁与苹果醋,大火滚,小火慢煮,不要盖锅盖,让水份蒸发,大约需要半小时,剩下大约一半汁液。
3.温度降下后,加入蜜糖,仔细搅匀,蜜糖可能需要很多,主要是令汁液容易入口。
4.将成品储在有盖的玻璃瓶中,放入冰箱。

服用方法:每天早餐前服用一汤匙。
大部分人的心血管疾病能得到根治。也可当作饮料,预防心血管疾病和高血压、预防感冒等疾病。吃上一个月以后去医院做次检查,会发现血管干干净净,堵塞的地方已经全通了。
大蒜对心血管的功能:抵抗血栓、抑制血小板凝聚、预防血栓形成,降低血脂、降低血液粘稠度、降低血压,保护心血管。
姜对心血管的功能:强心、调节血管舒缩功能、抗血小板聚集、降血脂、抗动脉粥样硬化、抗氧化及保护心肌,防治心血管疾病。
柠檬对心血管的功能:降低血脂、降血糖、降血压、降胆固醇,防治心血管疾病、预防和治疗高血压和心肌梗死,治疗风热感冒。
苹果醋对心血管的功能:调节血压、通血管、降胆固醇、降低血脂、疏通软化血管,保持心肌的能量代谢,保护心肌梗死的缺血性心肌层,治疗心绞痛,对心肌梗死等有防治效果。有预防伤风感冒和排毒保健功能。醋厂的工人很少感冒,爱感冒的人在早饭后出门前喝一瓶苹果醋,可以抵御早晨上班路上的寒冷,不得感冒。
相关推荐
投稿邮箱
联系电话
当前位置: